MUC16单克隆抗体[2E9C2]

AccuSift
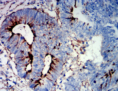
MUC16 Mouse Monoclonal antibody[2E9C2]
CA125
货号 名称 规格 价格 货期 数量
AC2914 MUC16单克隆抗体[2E9C2] 50ug ¥1250 1周
AC2914 MUC16单克隆抗体[2E9C2] 100ug ¥2200 1周

This gene encodes a protein that is a member of the mucin family. Mucins are high molecular weight, O-glycosylated proteins that play an important role in forming a protective mucous barrier, and are found on the apical surfaces of the epithelia. The encoded protein is a membrane-tethered mucin that contains an extracellular domain at its amino terminus, a large tandem repeat domain, and a transmembrane domain with a short cytoplasmic domain. The amino terminus is highly glycosylated, while the repeat region contains 156 amino acid repeats unit that are rich in serines, threonines, and prolines. Interspersed within the repeats are Sea urchin sperm protein Enterokinase and Agrin (SEA) modules, leucine-rich repeats and ankyrin (ANK) repeats. These regions together form the ectodomain, and there is a potential cleavage site found near an SEA module close to the transmembrane domain. This protein is thought to play a role in forming a barrier, protecting epithelial cells from pathogens. Products of this gene have been used as a marker for different cancers, with higher expression levels associated with poorer outcomes.

   


Aliases:    CA125    

Entrez GeneID :   94025    

Swissprot :   Q8WXI7    

WB Predicted band size:    1519kDa    

Host/Isotype :   Mouse IgG1    

Species Reactivity :   Human    

Immunogen:    Purified recombinant fragment of human MUC16 (AA: extra 1-200) expressed in E. Coli.    

操作说明

IHC    1/200-1/1000    

FCM    1/200-1/400    

ELISA    1/10000    

参考文献