MUC13单克隆抗体[8B2A7]

AccuSift
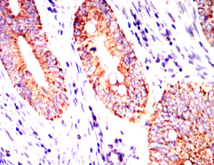
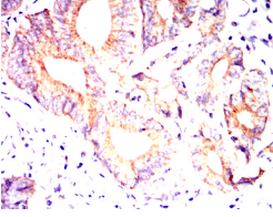
MUC13 Mouse Monoclonal antibody[8B2A7]
DRCC1; MUC-13
货号 名称 规格 价格 货期 数量
AC2911 MUC13单克隆抗体[8B2A7] 50ug ¥1250 1周
AC2911 MUC13单克隆抗体[8B2A7] 100ug ¥2200 1周

Epithelial mucins, such as MUC13, are a family of secreted and cell surface glycoproteins expressed by ductal and glandular epithelial tissues (Williams et al., 2001 [PubMed 11278439]).

   


Aliases:    DRCC1; MUC-13    

Entrez GeneID:    56667    

Swissprot:    Q9H3R2      

WB Predicted band size :   54.6kDa    

Host/Isotype:    Mouse IgG1    

Species Reactivity:    Human, Mouse, Rat    

Immunogen:    Purified recombinant fragment of human MUC13 (AA: extra 19-238) expressed in E. Coli.    

操作说明

WB    1/500 - 1/2000    

IHC    1/200 - 1/1000    

FCM    1/200 - 1/400    

ELISA    1/10000    

参考文献