MUC12单克隆抗体[4A3D3]

AccuSift
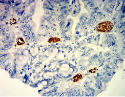
MUC12 Mouse Monoclonal antibody[4A3D3]
MUC11; MUC-11;
货号 名称 规格 价格 货期 数量
AC2910 MUC12单克隆抗体[4A3D3] 50ug ¥1250 1周
AC2910 MUC12单克隆抗体[4A3D3] 100ug ¥2200 1周

This gene encodes an integral membrane glycoprotein that is a member of the mucin family. Mucins are O-glycosylated proteins that play an essential role in forming protective mucous barriers on epithelial surfaces and have been implicated in epithelial renewal and differentiation. These glycoproteins also play a role in intracellular signaling. This protein is expressed on the apical membrane surface of epithelial cells that line the mucosal surfaces of many different tissues including the colon, pancreas, prostate, and uterus. The expression of this gene is downregulated in colorectal cancer tissue.

   


Aliases:    MUC11; MUC-11;    

Entrez GeneID:    10071    

Swissprot :   Q9UKN1    

WB Predicted band size :   55.8kDa    

Host/Isotype:    Mouse IgG1    

Species Reactivity :   Human    

Immunogen:    Purified recombinant fragment of human MUC12 (AA: extra 371-592) expressed in HEK293-6e cells supernatant.    

操作说明

IHC    1/200 - 1/1000    

FCM    1/200 - 1/400    

ELISA    1/10000    

参考文献