MTHFR单克隆抗体[5D3F3]

AccuSift
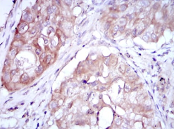
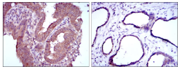
MTHFR Mouse Monoclonal antibody[5D3F3]
MTHFR
货号 名称 规格 价格 货期 数量
AC2906 MTHFR单克隆抗体[5D3F3] 50ug ¥1250 1周
AC2906 MTHFR单克隆抗体[5D3F3] 100ug ¥2200 1周

The protein encoded by this gene catalyzes the conversion of 5,10-methylenetetrahydrofolate to 5-methyltetrahydrofolate, a co-substrate for homocysteine remethylation to methionine. Genetic variation in this gene influences susceptibility to occlusive vascular disease, neural tube defects, colon cancer and acute leukemia, and mutations in this gene are associated with methylenetetrahydrofolate reductase deficiency.



Aliases:    MTHFR    

Entrez GeneID:    4524    

Swissprot :   P42898    

WB Predicted band size:    75kDa    

Host/Isotype:   Mouse IgG1    

Species Reactivity:    Human,Rat    

Immunogen :   Purified recombinant fragment of human MTHFR expressed in E. Coli.    

操作说明

WB    1/500 - 1/2000    

IHC    1/200 - 1/1000    

ELISA    1/10000    

参考文献