MTDH单克隆抗体[1F3A3]

AccuSift
MTDH Mouse Monoclonal antibody[1F3A3]
3D3; AEG1; AEG-1; LYRIC; LYRIC/3D3
货号 名称 规格 价格 货期 数量
AC2904 MTDH单克隆抗体[1F3A3] 50ug ¥1250 1周
AC2904 MTDH单克隆抗体[1F3A3] 100ug ¥2200 1周

MTDH (Metadherin) is a Protein Coding gene. Diseases associated with MTDH include Tongue Carcinoma and Gallbladder Adenocarcinoma. Among its related pathways are Gastric Cancer Network 2 and Validated targets of C-MYC transcriptional activation. Gene Ontology (GO) annotations related to this gene include double-stranded RNA binding. An important paralog of this gene is MAMSTR.



Aliases:    3D3; AEG1; AEG-1; LYRIC; LYRIC/3D3    

Entrez GeneID:    92140    

Swissprot:    Q86UE4    

WB Predicted band size:    75KDa    

Host/Isotype :   Mouse IgG1    

Species Reactivity:    Human, Monkey    

Immunogen :   Purified recombinant fragment of human MTDH (AA: 200-450) expressed in mammalian.    

操作说明

WB    1/500 - 1/2000    

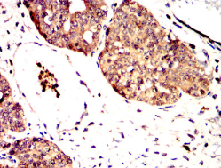
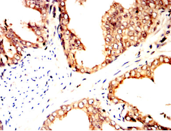
IHC    1/200 - 1/1000    

IF/ICC    1/50 - 1/200    

FCM    1/200 - 1/400    

ELISA    1/10000    

参考文献