MSN单克隆抗体[2C1C4]

AccuSift
MSN Mouse Monoclonal antibody[2C1C4]
moesin
货号 名称 规格 价格 货期 数量
AC2898 MSN单克隆抗体[2C1C4] 50ug ¥1250 1周
AC2898 MSN单克隆抗体[2C1C4] 100ug ¥2200 1周

Moesin (for membrane-organizing extension spike protein) is a member of the ERM family which includes ezrin and radixin. ERM proteins appear to function as cross-linkers between plasma membranes and actin-based cytoskeletons. Moesin is localized to filopodia and other membranous protrusions that are important for cell-cell recognition and signaling and for cell movement.

    

Aliases:    moesin    

Entrez GeneID:    4478    

Swissprot:    P26038       

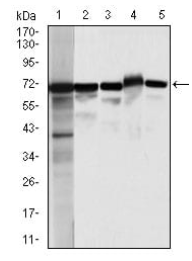
WB Predicted band size:    67.8kDa    

Host/Isotype  :  Mouse IgG1    

Species Reactivity:   Human,Monkey    

Immunogen:    Purified recombinant fragment of human MSN expressed in E. Coli.    

操作说明

WB    1/500 - 1/2000    

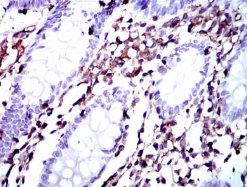
IHC    1/200 - 1/1000    

FCM    1/200 - 1/400    

ELISA    1/10000    

参考文献