MSI2单克隆抗体[2C11G]

AccuSift
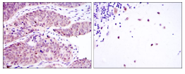
MSI2 Mouse Monoclonal antibody[2C11G]
MSI2H; MGC3245; FLJ36569; MSI2
货号 名称 规格 价格 货期 数量
AC2893 MSI2单克隆抗体[2C11G] 50ug ¥1250 1周
AC2893 MSI2单克隆抗体[2C11G] 100ug ¥2200 1周

Msi2 (musashi homolog 2), also known as MSI2H, is a 328 amino acid protein that localizes to the cytoplasm and contains two RRM (RNA recognition motif) domains. Expressed ubiquitously at low levels, Msi2 functions as an RNA binding protein that, by regulating the expression of target mRNAs, is thought to play a role in the proliferation and maintenance of stem cells within the central nervous system. Msi2 is subject to posttranslational phosphorylation and is upregulated in response to brain injury, suggesting a role in healing and brain tissue regeneration. Chromosomal aberrations involving the Msi2 gene are associated with the progression of chronic myeloid leukemia. Multiple isoforms of Msi2 exist due to alternative splicing events.Tissue specificity: Ubiquitous; detected at low levels.


Aliases:    MSI2H; MGC3245; FLJ36569; MSI2    

Entrez GeneID:   124540    

Swissprot :   Q96DH6    

WB Predicted band size:    35kDa    

Host/Isotype :   Mouse IgG1    

Species Reactivity :   Human    

Immunogen:    Purified recombinant fragment of human MSI2 expressed in E. Coli.    


操作说明

WB    1/500 - 1/2000    

IHC    1/200 - 1/1000    

ELISA    1/10000    

参考文献