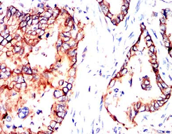
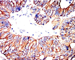
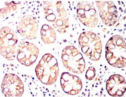
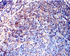
MRP3单克隆抗体[5F9B1]

AccuSift
MRP3 Mouse Monoclonal antibody[5F9B1]
MLP2; MRP3; ABC31; MOAT-D; cMOAT2; EST90757
货号 名称 规格 价格 货期 数量
AC2874 MRP3单克隆抗体[5F9B1] 50ug ¥1250 1周
AC2874 MRP3单克隆抗体[5F9B1] 100ug ¥2200 1周

The protein encoded by this gene is a member of the superfamily of ATP-binding cassette (ABC) transporters. ABC proteins transport various molecules across extra- and intra-cellular membranes. ABC genes are divided into seven distinct subfamilies (ABC1, MDR/TAP, MRP, ALD, OABP, GCN20, White). This protein is a member of the MRP subfamily which is involved in multi-drug resistance. The specific function of this protein has not yet been determined; however, this protein may play a role in the transport of biliary and intestinal excretion of organic anions. Alternatively spliced variants which encode different protein isoforms have been described; however, not all variants have been fully characterized.

   


Aliases:    MLP2; MRP3; ABC31; MOAT-D; cMOAT2; EST90757    

Entrez GeneID:    8714    

Swissprot :   O15438       

WB Predicted band size  :  43kDa    

Host/Isotype :   Mouse IgG1    

Species Reactivity  :  Human, Mouse, Rat    

Immunogen :   Purified recombinant fragment of human MRP3 (AA: 830-949) expressed in E. Coli.    

操作说明

IHC    1/200 - 1/1000    

FCM    1/200 - 1/400    

ELISA    1/10000    

参考文献