MRE11单克隆抗体[4D2B6]

AccuSift
MRE11 Mouse Monoclonal antibody[4D2B6]
ATLD; HNGS1; MRE11A; MRE11B
货号 名称 规格 价格 货期 数量
AC2870 MRE11单克隆抗体[4D2B6] 50ug ¥1250 1周
AC2870 MRE11单克隆抗体[4D2B6] 100ug ¥2200 1周

This gene encodes a nuclear protein involved in homologous recombination, telomere length maintenance, and DNA double-strand break repair. By itself, the protein has 3' to 5' exonuclease activity and endonuclease activity. The protein forms a complex with the RAD50 homolog; this complex is required for nonhomologous joining of DNA ends and possesses increased single-stranded DNA endonuclease and 3' to 5' exonuclease activities. In conjunction with a DNA ligase, this protein promotes the joining of noncomplementary ends in vitro using short homologies near the ends of the DNA fragments. This gene has a pseudogene on chromosome 3. Alternative splicing of this gene results in two transcript variants encoding different isoforms.

    

Aliases :   ATLD; HNGS1; MRE11A; MRE11B    

Entrez GeneID :   4361    

Swissprot :   P49959    

WB Predicted band size:    80.6kDa    

Host/Isotype:    Mouse IgG1    

Species Reactivity:    Human, Rat    

Immunogen :   Purified recombinant fragment of human MRE11 (AA: 182-582) expressed in E. Coli.    

操作说明

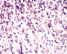
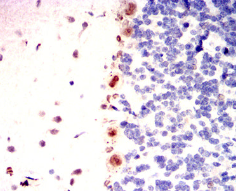
IHC    1/200 - 1/1000    

FCM    1/200 - 1/400    

ELISA    1/10000    

参考文献