MLH1单克隆抗体[4C9C7]

AccuSift
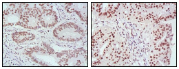
MLH1 Mouse Monoclonal antibody[4C9C7]
FCC2; COCA2; HNPCC; hMLH1; HNPCC2; MGC5172; MLH1
货号 名称 规格 价格 货期 数量
AC2842 MLH1单克隆抗体[4C9C7] 50ug ¥1250 1周
AC2842 MLH1单克隆抗体[4C9C7] 100ug ¥2200 1周

DNA-mismatch repair (MMR), a conserved process that involves correcting errors made during DNA synthesis, is crucial to the maintenance of genomic integrity. Lack of a functional DNA-mismatch repair pathway is a common characteristic of several different types of human cancers, either due to an MMR gene mutation or promoter-methylation gene silencing. MLH1 is a human homolog of the E. coli DNA mismatch repair gene mutL, consistent with the characteristic alterations in microsatellite sequences (RER+ phenotype) found in hereditary nonpolyposis colon cancer (HNPCC). MLH1 is an integral part of the protein complex responsible for mismatch repair expressed in lymphocytes, heart, colon, breast, lung, spleen, testis, prostate, thyroid and gall bladder, and is methylated in several ovarian tumors. Loss of MLH1 protein expression is associated with a mutated phenotype, microsatellite instability and a predisposition to cancer. In hereditary nonpolyposis colorectal cancer (HNPCC), an autosomal dominant inherited cancer syndrome that signifies a high risk of colorectal and various other types of cancer, the MLH1 gene exhibits a pathogenic mutation. Inactivation of the MLH1 gene causes genome instability and predisposition to cancer. MLH1 also plays a role in meiotic recombination.



Aliases:    FCC2; COCA2; HNPCC    

Entrez GeneID :   4292    

Swissprot :   P40692    

WB Predicted band size :   85kDa    

Host/Isotype :   Mouse IgG1    

Species Reactivity:    Human,Monkey    

Immunogen:    Purified recombinant fragment of MLH1 (aa381-483) expressed in E. Coli.    

操作说明

WB    1/500 - 1/2000    

IHC    1/200 - 1/1000    

IF/ICC    1/200 - 1/1000    

ELISA    1/10000    

参考文献