MEF2C单克隆抗体[6H2G2]

AccuSift
MEF2C Mouse Monoclonal antibody[6H2G2]
DEL5q14.3; C5DELq14.3
货号 名称 规格 价格 货期 数量
AC2821 MEF2C单克隆抗体[6H2G2] 50ug ¥1250 1周
AC2821 MEF2C单克隆抗体[6H2G2] 100ug ¥2200 1周

This locus encodes a member of the MADS box transcription enhancer factor 2 (MEF2) family of proteins, which play a role in myogenesis. The encoded protein, MEF2 polypeptide C, has both trans-activating and DNA binding activities. This protein may play a role in maintaining the differentiated state of muscle cells. Mutations and deletions at this locus have been associated with severe mental retardation, stereotypic movements, epilepsy, and cerebral malformation. Alternatively spliced transcript variants have been described.


Aliases :   DEL5q14.3; C5DELq14.3    

Entrez GeneID :   4208    

Swissprot :   Q06413    

WB Predicted band size:    51.2kDa    

Host/Isotype :   Mouse IgG1    

Species Reactivity:    Human,Mouse,Rat,Rabbit,Monkey    

Immunogen:    Purified recombinant fragment of human MEF2C (AA: 1-125) expressed in E. Coli.    

操作说明

WB    1/500 - 1/2000    

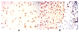
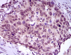
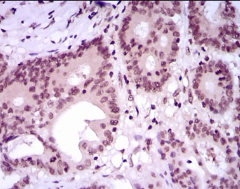
IHC    1/100 - 1/500    

FCM    1/200 - 1/400    

ELISA    1/10000    

参考文献