MECP2单克隆抗体[8H4A]

AccuSift
MECP2 Mouse Monoclonal antibody[8H4A]
RS; RTS; RTT; PPMX; MRX16; MRX79; MRXSL; AUTSX3; MRXS13
货号 名称 规格 价格 货期 数量
AC2818 MECP2单克隆抗体[8H4A] 50ug ¥1250 1周
AC2818 MECP2单克隆抗体[8H4A] 100ug ¥2200 1周


DNA methylation is the major modification of eukaryotic genomes and plays an essential role in mammalian development. Human proteins MECP2, MBD1, MBD2, MBD3, and MBD4 comprise a family of nuclear proteins related by the presence in each of a methyl-CpG binding domain (MBD). Each of these proteins, with the exception of MBD3, is capable of binding specifically to methylated DNA. MECP2, MBD1 and MBD2 can also repress transcription from methylated gene promoters. In contrast to other MBD family members, MECP2 is X-linked and subject to X inactivation. MECP2 is dispensible in stem cells, but is essential for embryonic development. MECP2 gene mutations are the cause of most cases of Rett syndrome, a progressive neurologic developmental disorder and one of the most common causes of mental retardation in females.





Aliases:    RS; RTS; RTT; PPMX; MRX16; MRX79; MRXSL; AUTSX3; MRXS13    

Entrez GeneID:    4204    

Swissprot :   P51608    

WB Predicted band size:    52.4kDa    

Host/Isotype :   Mouse IgG1    

Species Reactivity :   Human    

Immunogen  :  Purified recombinant fragment of human MECP2 (AA: 7-148) expressed in E. Coli.    

操作说明

WB    1/500 - 1/2000    

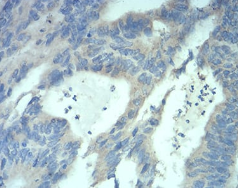
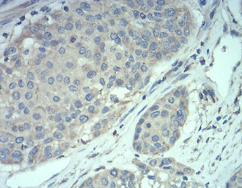
IHC    1/200 - 1/1000    

IF/ICC    1/200 - 1/1000    

FCM    1/200 - 1/400    

ELISA    1/10000    

参考文献