MDM4单克隆抗体[2D10F]

AccuSift
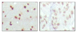
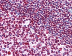
MDM4 Mouse Monoclonal antibody[2D10F]
HDMX; MDMX; MRP1; MGC132766; DKFZp781B1423; MDM4
货号 名称 规格 价格 货期 数量
AC2817 MDM4单克隆抗体[2D10F] 50ug ¥1250 1周
AC2817 MDM4单克隆抗体[2D10F] 100ug ¥2200 1周

MDM4, encodes a 490-amino acid protein containing a RING finger domain and a putative nuclear localization signal. The MDM4 putative nuclear localization signal, which all Mdm proteins contain, is located in the C-terminal region of the protein. The mRNA is expressed at a high level in thymus and at lower levels in all other tissues tested. MDM4 protein produced by in vitro translation interacts with p53 via a binding domain located in the N-terminal region of the MDM4 protein. MDM4 shows significant structural similarity to p53-binding protein MDM2.


Aliases:    HDMX; MDMX; MRP1; MDM4    

Entrez GeneID:    4194    

Swissprot:   O15151    

WB Predicted band size:    55kDa    

Host/Isotype:    Mouse IgG1    

Species Reactivity:    Human    

Immunogen:    Purified recombinant fragment of human MDM4 expressed in E. Coli.    

操作说明

WB    1/500 - 1/2000   

IHC    1/200 - 1/1000    

IF/ICC    1/200 - 1/1000    

ELISA    1/10000    

参考文献