MCM2单克隆抗体[2B3C9]

AccuSift
MCM2 Mouse Monoclonal antibody[2B3C9]
BM28; CCNL1; CDCL1; cdc19; D3S3194; MITOTIN; KIAA0030; MGC10606
货号 名称 规格 价格 货期 数量
AC2809 MCM2单克隆抗体[2B3C9] 50ug ¥1250 1周
AC2809 MCM2单克隆抗体[2B3C9] 100ug ¥2200 1周

The protein encoded by this gene is one of the highly conserved mini-chromosome maintenance proteins (MCM) that are involved in the initiation of eukaryotic genome replication. The hexameric protein complex formed by MCM proteins is a key component of the pre-replication complex (pre_RC) and may be involved in the formation of replication forks and in the recruitment of other DNA replication related proteins. This protein forms a complex with MCM4, 6, and 7, and has been shown to regulate the helicase activity of the complex. This protein is phosphorylated, and thus regulated by, protein kinases CDC2 and CDC7.

   


Aliases:    BM28; CCNL1; CDCL1; cdc19; D3S3194; MITOTIN; KIAA0030; MGC10606    

Entrez GeneID:    4171    

Swissprot:    P49736     

WB Predicted band size:    125kDa    

Host/Isotype :   Mouse IgG1    

Species Reactivity :   Human,Mouse,Rat,Monkey    

Immunogen:    Purified recombinant fragment of human MCM2 expressed in E. Coli.    

操作说明

WB    1/500 - 1/2000    

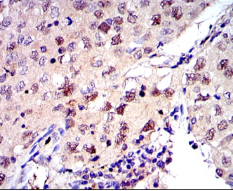
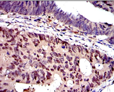
IHC    1/200 - 1/1000    

FCM    1/200 - 1/400    

ELISA    1/10000    

参考文献