MCAM单克隆抗体[6C3F1]

AccuSift
MCAM Mouse Monoclonal antibody[6C3F1]
CD146; MUC18
货号 名称 规格 价格 货期 数量
AC2806 MCAM单克隆抗体[6C3F1] 50ug ¥1250 1周
AC2806 MCAM单克隆抗体[6C3F1] 100ug ¥2200 1周

The protein encoded by this gene plays a role in cell adhesion, and in cohesion of the endothelial monolayer at intercellular junctions in vascular tissue. Its expression may allow melanoma cells to interact with cellular elements of the vascular system, thereby enhancing hematogeneous tumor spread. Could be an adhesion molecule active in neural crest cells during
embryonic development. Acts as surface receptor that triggers tyrosine phosphorylation of FYN and PTK2/FAK1, and a transient increase in the intracellular calcium concentration



Aliases:    CD146; MUC18    

Entrez GeneID:    4162    

Swissprot :   P43121      

WB Predicted band size:    71.6kDa    

Host/Isotype:    Mouse IgG1    

Species Reactivity:    Human    

Immunogen:    Purified recombinant fragment of human MCAM (AA: 84-189) expressed in E. Coli.    

操作说明

WB    1/500 - 1/2000    

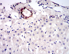
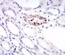
IHC    1/200 - 1/1000    

ELISA    1/10000    

参考文献