MAP2K7单克隆抗体[4E5F9]

AccuSift
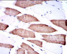
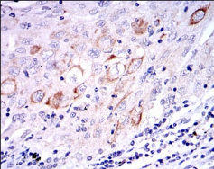
MAP2K7 Mouse Monoclonal antibody[4E5F9]
MKK7; Jnkk2; MAPKK7; PRKMK7
货号 名称 规格 价格 货期 数量
AC2780 MAP2K7单克隆抗体[4E5F9] 50ug ¥1250 1周
AC2780 MAP2K7单克隆抗体[4E5F9] 100ug ¥2200 1周

The protein encoded by this gene is a dual specificity protein kinase that belongs to the MAP kinase kinase family. This kinase specifically activates MAPK8/JNK1 and MAPK9/JNK2, and this kinase itself is phosphorylated and activated by MAP kinase kinase kinases including MAP3K1/MEKK1, MAP3K2/MEKK2,MAP3K3/MEKK5, and MAP4K2/GCK. This kinase is involved in the signal transduction mediating the cell responses to proinflammatory cytokines, and environmental stresses. Multiple alternatively spliced transcript variants encoding distinct isoforms have been found, but only one transcript variant has been supported and defined.

   


Aliases:    MKK7; Jnkk2; MAPKK7; PRKMK7    

Entrez GeneID :   5609    

Swissprot:    O14733    

WB Predicted band size :   48kDa    

Host/Isotype:    Mouse IgG1    

Species Reactivity:    Human    

Immunogen :   Purified recombinant fragment of human MAP2K7 expressed in E. Coli.    

操作说明

IHC    1/200 - 1/1000    

IF/ICC    1/200 - 1/1000    

FCM    1/200 - 1/400    

ELISA    1/10000    

参考文献