MAP2K3单克隆抗体[2E12D]

AccuSift
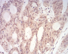
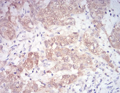
MAP2K3 Mouse Monoclonal antibody[2E12D]
MEK3; MKK3; MAPKK3; PRKMK3; SAPKK2; SAPKK-2
货号 名称 规格 价格 货期 数量
AC2774 MAP2K3单克隆抗体[2E12D] 50ug ¥1250 1周
AC2774 MAP2K3单克隆抗体[2E12D] 100ug ¥2200 1周

The protein encoded by this gene is a dual specificity protein kinase that belongs to the MAP kinase kinase family. This kinase is activated by mitogenic and environmental stress, and participates in the MAP kinase-mediated signaling cascade. It phosphorylates and thus activates MAPK14/p38-MAPK. This kinase can be activated by insulin, and is necessary for the expression of glucose transporter. Expression of RAS oncogene is found to result in the accumulation of the active form of this kinase, which thus leads to the constitutive activation of MAPK14, and confers oncogenic transformation of primary cells. The inhibition of this kinase is involved in the pathogenesis of Yersina pseudotuberculosis. Multiple alternatively spliced transcript variants that encode distinct isoforms have been reported for this gene.



Aliases:    MEK3; MKK3; MAPKK3; PRKMK3; SAPKK2; SAPKK-2    

Entrez GeneID:    5606    

Swissprot:    P46734    

WB Predicted band size :   39.3kDa    

Host/Isotype :   Mouse IgG1    

Species Reactivity :   Human    

Immunogen:    Purified recombinant fragment of human MAP2K3 (AA: 1-138) expressed in E. Coli.    

操作说明

IHC    1/200 - 1/1000    

IF/ICC    1/200 - 1/1000    

FCM    1/200 - 1/400    

ELISA    1/10000    

参考文献