MAP1LC3B单克隆抗体[5H12E]

AccuSift
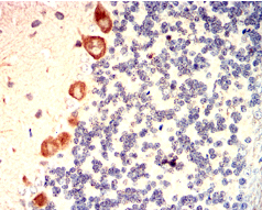
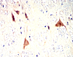
MAP1LC3B Mouse Monoclonal antibody[5H12E]
LC3B; ATG8F; MAP1A/1BLC3
货号 名称 规格 价格 货期 数量
AC2771 MAP1LC3B单克隆抗体[5H12E] 50ug ¥1250 1周
AC2771 MAP1LC3B单克隆抗体[5H12E] 100ug ¥2200 1周

The product of this gene is a subunit of neuronal microtubule-associated MAP1A and MAP1B proteins, which are involved in microtubule assembly and important for neurogenesis. Studies on the rat homolog implicate a role for this gene in autophagy, a process that involves the bulk degradation of cytoplasmic component.



Aliases:    LC3B; ATG8F; MAP1A/1BLC3    

Entrez GeneID:    81631    

Swissprot :   Q9GZQ8    

WB Predicted band size:    14.6kDa    

Host/Isotype:    Mouse IgG1    

Species Reactivity:    Human,Mouse,Rat,Monkey    

Immunogen:    Purified recombinant fragment of human MAP1LC3B expressed in E. Coli.    

操作说明

IHC    1/50-1/100    

IF/ICC    1/50-1/100    

FCM    1/200 - 1/400    

ELISA    1/10000    

参考文献