LPlunc1单克隆抗体[2A5C1]

AccuSift
LPlunc1 Mouse Monoclonal antibody[2A5C1]
BPIFB1; LPLUNC1; MGC14597; C20orf114
货号 名称 规格 价格 货期 数量
AC2741 LPlunc1单克隆抗体[2A5C1] 50ug ¥1250 1周
AC2741 LPlunc1单克隆抗体[2A5C1] 100ug ¥2200 1周

The protein encoded by this gene may be involved in the innate immune response to bacterial exposure in the mouth, nasal cavities, and lungs. The encoded protein is secreted and is a member of the BPI/LBP/PLUNC protein superfamily. This gene is found with other members of the superfamily in a cluster on chromosome 20. 



Aliases:    BPIFB1; LPLUNC1; MGC14597; C20orf114    

Entrez GeneID:    92747    

Swissprot :   Q8TDL5       

WB Predicted band size :   52kDa    

Host/Isotype:    Mouse IgG1    

Species Reactivity:    Human    

Immunogen :   Purified recombinant fragment of human LPlunc1 expressed in E. Coli.    

操作说明

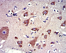
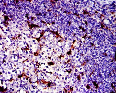
IHC    1/200 - 1/1000    

IF/ICC    1/200 - 1/1000    

FCM    1/200 - 1/400    

ELISA    1/10000    

参考文献