LPA 单克隆抗体[4H1B6]

AccuSift
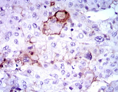
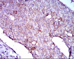
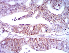
LPA Mouse Monoclonal antibody[4H1B6]
LP; AK38; APOA
货号 名称 规格 价格 货期 数量
AC2738 LPA 单克隆抗体[4H1B6] 50ug ¥1250 1周
AC2738 LPA 单克隆抗体[4H1B6] 100ug ¥2200 1周

The protein encoded by this gene is a serine proteinase that inhibits the activity of tissue-type plasminogen activator I. The encoded protein constitutes a substantial portion of lipoprotein(a) and is proteolytically cleaved, resulting in fragments that attach to atherosclerotic lesions and promote thrombogenesis. Elevated plasma levels of this protein are linked to atherosclerosis. Depending on the individual, the encoded protein contains 2-43 copies of kringle-type domains. The allele represented here contains 15 copies of the kringle-type repeats and corresponds to that found in the reference genome sequence.



Aliases :   LP; AK38; APOA    

Entrez GeneID:    4018    

Swissprot:   P08519    

WB Predicted band size:    501kDa    

Host/Isotype:    Mouse IgG1    

Species Reactivity:    Human    

Immunogen:    Purified recombinant fragment of human LPA (AA: 1823-2013) expressed in E. Coli.    

操作说明

IHC    1/200 - 1/1000    

IF/ICC    1/200 - 1/1000    

ELISA    1/10000    

参考文献