LMNB2单克隆抗体[2E2F4]

AccuSift
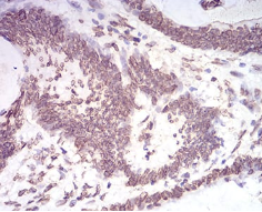
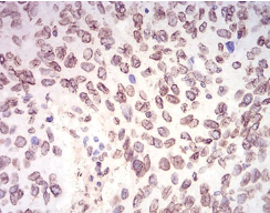
LMNB2 Mouse Monoclonal antibody[2E2F4]
LMN2; LAMB2
货号 名称 规格 价格 货期 数量
AC2736 LMNB2单克隆抗体[2E2F4] 50ug ¥1250 1周
AC2736 LMNB2单克隆抗体[2E2F4] 100ug ¥2200 1周

This gene encodes a B type nuclear lamin. The nuclear lamina consists of a two-dimensional matrix of proteins located next to the inner nuclear membrane. The lamin family of proteins make up the matrix and are highly conserved in evolution. During mitosis, the lamina matrix is reversibly disassembled as the lamin proteins are phosphorylated. Lamin proteins are thought to be involved in nuclear stability, chromatin structure and gene expression. Vertebrate lamins consist of two types, A and B. Mutations in this gene are associated with acquired partial lipodystrophy.

    

Aliases :   LMN2; LAMB2    

Entrez GeneID :   84823    

Swissprot :   Q03252     

WB Predicted band size:    67.7kDa    

Host/Isotype :   Mouse IgG2b    

Species Reactivity :   Human    

Immunogen:    Purified recombinant fragment of human LMNB2 (AA: 401-600) expressed in E. Coli.    

操作说明

WB    1/500 - 1/2000    

IHC    1/200 - 1/1000    

IF/ICC    1/200 - 1/1000    

FCM    1/200 - 1/400    

ELISA    1/10000    

参考文献