LMNB1单克隆抗体[2A1A2]

AccuSift
LMNB1 Mouse Monoclonal antibody[2A1A2]
LMN;ADLD;LMN2; LMNB;MCPH26
货号 名称 规格 价格 货期 数量
AC2734 LMNB1单克隆抗体[2A1A2] 100ug ¥1350 1周
AC2734 LMNB1单克隆抗体[2A1A2] 200ug ¥2400 1周

This gene encodes one of the two B-type lamin proteins and is a component of the nuclear lamina. A duplication of this gene is associated with autosomal dominant adult-onset leukodystrophy (ADLD). Alternative splicing results in multiple transcript variants.



Aliases:    LMN;ADLD;LMN2; LMNB;MCPH26    

Entrez GeneID:    4001    

Swissprot:    P20700     

WB Predicted band size :   66.4kDa    

Host/Isotype :   Mouse IgG1    

Species Reactivity:    Human,Mouse,Rat    

Immunogen :   Purified recombinant fragment of human LMNB1 (AA: 413-583) expressed in HEK293-6e cells supernatant.    

操作说明

WB    1/500 - 1/2000    

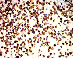
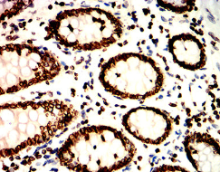
IHC    1/200 - 1/1000    

IF/ICC    1/200 - 1/1000    

FCM    1/200 - 1/400    

ELISA    1/10000    

参考文献