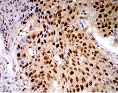
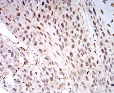
LGALS1单克隆抗体[1H11C]

AccuSift
LGALS1 Mouse Monoclonal antibody[1H11C]
GBP; GAL1
货号 名称 规格 价格 货期 数量
AC2717 LGALS1单克隆抗体[1H11C] 50ug ¥1250 1周
AC2717 LGALS1单克隆抗体[1H11C] 100ug ¥2200 1周

The galectins are a family of beta-galactoside-binding proteins implicated in modulating cell-cell and cell-matrix interactions. This gene product may act as an autocrine negative growth factor that regulates cell proliferation.

   


Aliases:    GBP; GAL1    

Entrez GeneID:    3956    

Swissprot:    P09382     

WB Predicted band size:    14.7kDa    

Host/Isotype:    Mouse IgG1    

Species Reactivity:    Human    

Immunogen:    Purified recombinant fragment of human LGALS1 (AA: 1-135) expressed in E. Coli.    

操作说明

IHC    1/200 - 1/1000    

FCM    1/200 - 1/400    

ELISA    1/10000    

参考文献