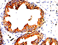
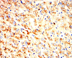
LAMP1单克隆抗体[1D7C1]

AccuSift
LAMP1 Mouse Monoclonal antibody[1D7C1]
LAMPA; CD107a; LGP120
货号 名称 规格 价格 货期 数量
AC2709 LAMP1单克隆抗体[1D7C1] 50ug ¥1250 1周
AC2709 LAMP1单克隆抗体[1D7C1] 100ug ¥2200 1周

The protein encoded by this gene is a member of a family of membrane glycoproteins. This glycoprotein provides selectins with carbohydrate ligands. It may also play a role in tumor cell metastasis.



Aliases:    LAMPA; CD107a; LGP120    

Entrez GeneID:    3916    

Swissprot:    P11279    

WB Predicted band size:    44.9kDa    

Host/Isotype :   Mouse IgG1    

Species Reactivity:    Human,Mouse,Monkey    

Immunogen :   Purified recombinant fragment of human LAMP1 (AA: 182-414) expressed in E. Coli.    

操作说明

IHC    1/200 - 1/1000    

IF/ICC    1/200 - 1/1000    

FCM    1/200 - 1/400    

ELISA    1/10000    

参考文献