KSHV K8a单克隆抗体[8C12G]

AccuSift
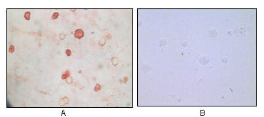
KSHV K8a Mouse Monoclonal antibody[8C12G]
货号 名称 规格 价格 货期 数量
AC2701 KSHV K8a单克隆抗体[8C12G] 50ug ¥1250 1周
AC2701 KSHV K8a单克隆抗体[8C12G] 100ug ¥2200 1周

Kaposi's sarcoma-associated herpesvirus (KSHV) belongs to the gamma-(2)-herpesvirus subfamily and has been closely linked to the Kaposi


Aliases:    K8    

Entrez GeneID :   4961462     

Host/Isotype:    Mouse IgG2a    

Immunogen :   Purified recombinant fragment of KSHV K8α expressed in E. Coli.    

操作说明

WB    1/500 - 1/2000    

IF/ICC    1/25-1/50    

ELISA    1/10000    

参考文献