KRT9单克隆抗体[8C2A6]

AccuSift
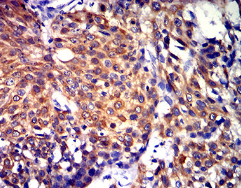
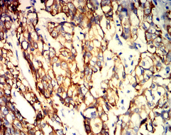
KRT9 Mouse Monoclonal antibody[8C2A6]
K9; CK-9; EPPK
货号 名称 规格 价格 货期 数量
AC2700 KRT9单克隆抗体[8C2A6] 50ug ¥1250 1周
AC2700 KRT9单克隆抗体[8C2A6] 100ug ¥2200 1周

This gene encodes the type I keratin 9, an intermediate filament chain expressed only in the terminally differentiated epidermis of palms and soles. Mutations in this gene cause epidermolytic palmoplantar keratoderma.

    

Aliases:    K9; CK-9; EPPK    

Entrez GeneID:    3857    

Swissprot:    P35527    

WB Predicted band size:    62kDa    

Host/Isotype:    Mouse IgG2b    

Species Reactivity :   Human, Mouse, Rat    

Immunogen :   Purified recombinant fragment of human KRT9 (AA: 153-460) expressed in E. Coli.    

操作说明

WB    1/500 - 1/2000    

IHC    1/200 - 1/1000    

FCM    1/200 - 1/400    

ELISA    1/10000    

参考文献