KRT18单克隆抗体[3G6E4]

AccuSift
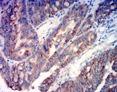
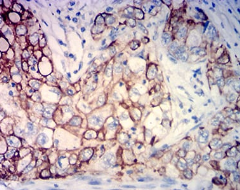
KRT18 Mouse Monoclonal antibody[3G6E4]
K18; CK-18; CYK18
货号 名称 规格 价格 货期 数量
AC2686 KRT18单克隆抗体[3G6E4] 50ug ¥1250 1周
AC2686 KRT18单克隆抗体[3G6E4] 100ug ¥2200 1周

KRT18 encodes the type I intermediate filament chain keratin 18. Keratin 18, together with its filament partner keratin 8, are perhaps the most commonly found members of the intermediate filament gene family. They are expressed in single layer epithelial tissues of the body. Mutations in this gene have been linked to cryptogenic cirrhosis. Two transcript variants encoding the same protein have been found for this gene.



Aliases:    K18; CK-18; CYK18    

Entrez GeneID:    3875    

Swissprot:    P05783    

WB Predicted band size:    48kDa    

Host/Isotype:    Mouse IgG1    

Species Reactivity:    Human    

Immunogen :   Purified recombinant fragment of human KRT18 (AA: 1-150) expressed in E. Coli.    

操作说明

WB    1/500 - 1/2000    

IHC    1/200 - 1/1000    

IF/ICC    1/500 - 1/2000    

FCM    1/200 - 1/400    

ELISA    1/10000    

参考文献