KRT14单克隆抗体[3A1F6]

AccuSift
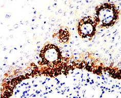
KRT14 Mouse Monoclonal antibody[3A1F6]
K14; NFJ; CK14; EBS1; EBS3; EBS4; EBS1A; EBS1B; EBS1C; EBS1D
货号 名称 规格 价格 货期 数量
AC2681 KRT14单克隆抗体[3A1F6] 50ug ¥1250 1周
AC2681 KRT14单克隆抗体[3A1F6] 100ug ¥2200 1周

This gene encodes a member of the keratin family, the most diverse group of intermediate filaments. This gene product, a type I keratin, is usually found as a heterotetramer with two keratin 5 molecules, a type II keratin. Together they form the cytoskeleton of epithelial cells. Mutations in the genes for these keratins are associated with epidermolysis bullosa simplex. At least one pseudogene has been identified at 17p12-p11.

  


Aliases :   K14; NFJ; CK14; EBS1; EBS3; EBS4; EBS1A; EBS1B; EBS1C; EBS1D    

Entrez GeneID:    3861    

Swissprot :   P02533     

WB Predicted band size:    51.5kDa    

Host/Isotype :   Mouse IgG1    

Species Reactivity :   Human    

Immunogen:    Purified recombinant fragment of human KRT14(AA: 115-472) expressed in E. Coli.    

操作说明

WB    1/500 - 1/2000    

IHC    1/200 - 1/1000    

IF/ICC    1/50 - 1/200    

FCM    1/200 - 1/400    

ELISA    1/10000    

参考文献