KRT13单克隆抗体[7D7A2]

AccuSift
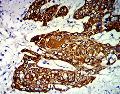
KRT13 Mouse Monoclonal antibody[7D7A2]
K13; CK13; WSN2
货号 名称 规格 价格 货期 数量
AC2678 KRT13单克隆抗体[7D7A2] 50ug ¥1250 1周
AC2678 KRT13单克隆抗体[7D7A2] 100ug ¥2200 1周

The protein encoded by this gene is a member of the keratin gene family. The keratins are intermediate filament proteins responsible for the structural integrity of epithelial cells and are subdivided into cytokeratins and hair keratins. Most of the type I cytokeratins consist of acidic proteins which are arranged in pairs of heterotypic keratin chains. This type I cytokeratin is paired with keratin 4 and expressed in the suprabasal layers of non-cornified stratified epithelia. Mutations in this gene and keratin 4 have been associated with the autosomal dominant disorder White Sponge Nevus. The type I cytokeratins are clustered in a region of chromosome 17q21.2. Alternative splicing of this gene results in multiple transcript variants; however, not all variants have been described.



Aliases :   K13; CK13; WSN2    

Entrez GeneID:    3860    

Swissprot :   P13646      

WB Predicted band size:    49.5kDa    

Host/Isotype:    Mouse IgG1    

Species Reactivity :   Human    

Immunogen :   Purified recombinant fragment of human KRT13 (AA: 104-458) expressed in E. Coli.    

操作说明

WB    1/500 - 1/2000    

IHC    1/200 - 1/1000    

FCM    1/200 - 1/400    

ELISA    1/10000    

参考文献