KMT2A 单克隆抗体[7E1D]

AccuSift
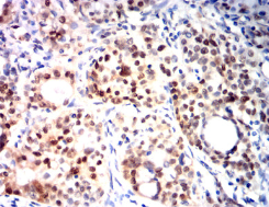
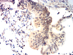
KMT2A Mouse Monoclonal antibody[7E1D]
HRX; MLL; MLL1; TRX1; ALL-1; CXXC7; HTRX1; MLL1A; WDSTS
货号 名称 规格 价格 货期 数量
AC2664 KMT2A 单克隆抗体[7E1D] 50ug ¥1250 1周
AC2664 KMT2A 单克隆抗体[7E1D] 100ug ¥2200 1周

This gene encodes a transcriptional coactivator that plays an essential role in regulating gene expression during early development and hematopoiesis. The encoded protein contains multiple conserved functional domains. One of these domains, the SET domain, is responsible for its histone H3 lysine 4 (H3K4) methyltransferase activity which mediates chromatin modifications associated with epigenetic transcriptional activation. This protein is processed by the enzyme Taspase 1 into two fragments, MLL-C and MLL-N. These fragments reassociate and further assemble into different multiprotein complexes that regulate the transcription of specific target genes, including many of the HOX genes. Multiple chromosomal translocations involving this gene are the cause of certain acute lymphoid leukemias and acute myeloid leukemias. Alternate splicing results in multiple transcript variants.



Aliases:    HRX; MLL; MLL1; TRX1; ALL-1; CXXC7; HTRX1; MLL1A; WDSTS    

Entrez GeneID:    4297    

Swissprot :   Q03164      

WB Predicted band size :   431kDa    

Host/Isotype :   Mouse IgG1      

Species Reactivity:    Human    

Immunogen :   Purified recombinant fragment of human KMT2A (AA:150-400) expressed in E. Coli.    

操作说明

IHC    1/200 - 1/1000    

IF/ICC    1/200 - 1/1000    

FCM    1/200 - 1/400    

ELISA    1/10000    

参考文献