KLF4单克隆抗体[1E6E6]

AccuSift
KLF4 Rabbit Monoclonal antibody[1E6E6]
EZF; GKLF; KLF4
货号 名称 规格 价格 货期 数量
AC2651 KLF4单克隆抗体[1E6E6] 50ug ¥1250 1周
AC2651 KLF4单克隆抗体[1E6E6] 100ug ¥2200 1周

This gene encodes a protein that belongs to the Kruppel family of transcription factors. The encoded zinc finger protein is required for normal development of the barrier function of skin. The encoded protein is thought to control the G1-to-S transition of the cell cycle following DNA damage by mediating the tumor suppressor gene p53. Mice lacking this gene have a normal appearance but lose weight rapidly, and die shortly after birth due to fluid evaporation resulting from compromised epidermal barrier function. Alternative splicing results in multiple transcript variants encoding different isoforms. [provided by RefSeq, Sep 2015],



Aliases:    KLF4;EZF;GKLF;Krueppel-like factor 4;Epithelial zinc finger protein EZF;Gut-enriched krueppel-like factor       

Entrez GeneID :   9314    

Swissprot:    O43474    

WB Predicted band size:    55kD    

Host/Isotype:    Rabbit IgG,Kappa    

Species Reactivity:    Human,Mouse,Rat,    

操作说明

WB    1/1000-5000    

IP    1/50-200    

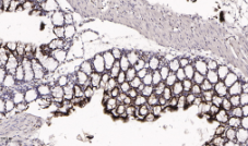
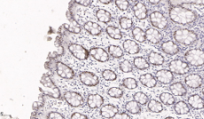
IHC    1/200-1000    

IF/ICC    1/200-1000    

ELISA    1/5000-20000    

参考文献