KLF1单克隆抗体[1B6A3]

AccuSift
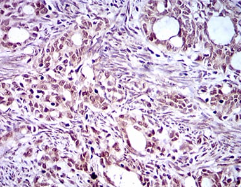
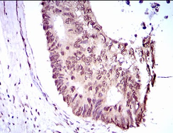
KLF1 Mouse Monoclonal antibody[1B6A3]
EKLF; INLU; HBFQTL6
货号 名称 规格 价格 货期 数量
AC2647 KLF1单克隆抗体[1B6A3] 50ug ¥1250 1周
AC2647 KLF1单克隆抗体[1B6A3] 100ug ¥2200 1周

This gene encodes a hematopoietic-specific transcription factor that induces high-level expression of adult beta-globin and other erythroid genes. The zinc-finger protein binds to the DNA sequence CCACACCCT found in the beta hemoglobin promoter. Heterozygous loss-of-function mutations in this gene result in the dominant In(Lu) blood phenotype.



Aliases:    EKLF; INLU; HBFQTL6    

Entrez GeneID:    10661    

Swissprot :   Q13351     

WB Predicted band size:    38.2kDa    

Host/Isotype:    Mouse IgG1    

Species Reactivity:    Human    

Immunogen:    Purified recombinant fragment of human KLF1 (AA: 208-362) expressed in E. Coli.    

操作说明

IHC    1/200 - 1/1000    

FCM    1/200 - 1/400    

ELISA    1/10000    

参考文献