KID单克隆抗体[5F3C6]

AccuSift
KID Mouse Monoclonal antibody[5F3C6]
KIF22; KID; OBP; KNSL4; OBP-1; OBP-2; A-328A3.2
货号 名称 规格 价格 货期 数量
AC2638 KID单克隆抗体[5F3C6] 50ug ¥1250 1周
AC2638 KID单克隆抗体[5F3C6] 100ug ¥2200 1周

The protein encoded by this gene is a member of kinesin-like protein family. This family of proteins are microtubule-dependent molecular motors that transport organelles within cells and move chromosomes during cell division. The C-terminal half of this protein has been shown to bind DNA. Studies with the Xenopus homolog suggests its essential role in metaphase chromosome alignment and maintenance.

    

Aliases:    KIF22; KID; OBP; KNSL4; OBP-1; OBP-2; A-328A3.2    

Entrez GeneID:    3835    

Swissprot:    Q14807    

WB Predicted band size:    73kDa    

Host/Isotype :   Mouse IgG1    

Species Reactivity:    Human    

Immunogen :   Purified recombinant fragment of human KID expressed in E. Coli.    

操作说明

WB    1/500 - 1/2000    

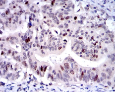
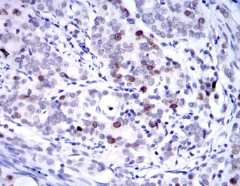
IHC    1/200 - 1/1000    

ELISA    1/10000    

参考文献