KDM1A单克隆抗体[3F9D2]

AccuSift
KDM1A Mouse Monoclonal antibody[3F9D2]
AOF2; CPRF; KDM1; LSD1; BHC110
货号 名称 规格 价格 货期 数量
AC2614 KDM1A单克隆抗体[3F9D2] 50ug ¥1250 1周
AC2614 KDM1A单克隆抗体[3F9D2] 100ug ¥2200 1周

This gene encodes a nuclear protein containing a SWIRM domain, a FAD-binding motif, and an amine oxidase domain. This protein is a component of several histone deacetylase complexes, though it silences genes by functioning as a histone demethylase. Alternative splicing results in multiple transcript variants.



Aliases:    AOF2; CPRF; KDM1; LSD1; BHC110    

Entrez GeneID:    23028    

Swissprot:    O60341     

WB Predicted band size :   93kDa    

Host/Isotype:    Mouse IgG1    

Species Reactivity:    Human    

Immunogen :   Purified recombinant fragment of human KDM1A (AA: 55-263) expressed in E. Coli.    

操作说明

WB    1/500 - 1/2000    

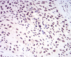
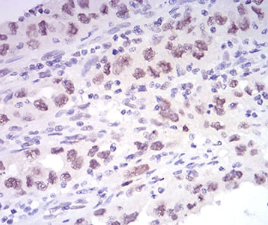
IHC    1/200 - 1/1000    

IF/ICC    1/200 - 1/1000    

FCM    1/200 - 1/400    

ELISA    1/10000    

参考文献