KCNK1单克隆抗体[3C1B8]

AccuSift
KCNK1 Mouse Monoclonal antibody[3C1B8]
DPK; HOHO; K2P1; KCNO1; TWIK1; K2p1.1; TWIK-1
货号 名称 规格 价格 货期 数量
AC2607 KCNK1单克隆抗体[3C1B8] 50ug ¥1250 1周
AC2607 KCNK1单克隆抗体[3C1B8] 100ug ¥2200 1周

This gene encodes one of the members of the superfamily of potassium channel proteins containing two pore-forming P domains. The product of this gene has not been shown to be a functional channel, however, it may require other non-pore-forming proteins for activity. [provided by RefSeq, Jul 2008]



Aliases:    DPK; HOHO; K2P1; KCNO1; TWIK1; K2p1.1; TWIK-1    

Entrez GeneID:    3775    

Swissprot :   O00180      

WB Predicted band size :   38.1kDa    

Host/Isotype :   Mouse IgG2b    

Species Reactivity:    Human    

Immunogen:    Purified recombinant fragment of human KCNK1 (AA: extra mix) expressed in E. Coli.    

操作说明

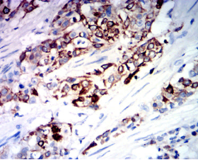
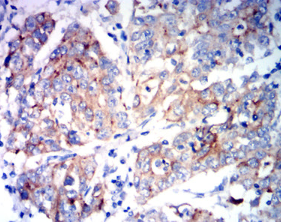
IHC    1/200 - 1/1000    

FCM    1/200 - 1/400    

ELISA    1/10000    

参考文献