KAT7单克隆抗体[1D9H9]

AccuSift
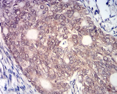
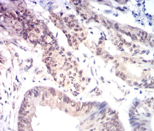
KAT7 Mouse Monoclonal antibody[1D9H9]
HBO1; HBOA; MYST2; ZC2HC7
货号 名称 规格 价格 货期 数量
AC2602 KAT7单克隆抗体[1D9H9] 50ug ¥1250 1周
AC2602 KAT7单克隆抗体[1D9H9] 100ug ¥2200 1周

The protein encoded by this gene is part of the multimeric HBO1 complex, which possesses histone H4-specific acetyltransferase activity. This activity is required for functional replication origins and is involved in transcriptional activation of some genes. In both cases, the acetylation of histone H4 helps unfold chromatin so that the DNA can be accessed and replicated or transcribed. [provided by RefSeq, Oct 2016]


Aliases:    HBO1; HBOA; MYST2; ZC2HC7    

Entrez GeneID :   11143    

Swissprot:    O95251       

WB Predicted band size :   70.6kDa    

Host/Isotype :   Mouse IgG1    

Species Reactivity:    Human,Mouse,Monkey    

Immunogen :   Purified recombinant fragment of human KAT7 (AA: 1-200) expressed in E. Coli.    

操作说明

WB    1/500 - 1/2000    

IHC    1/200 - 1/1000    

ELISA    1/10000    

参考文献