KAT2B单克隆抗体[7D12C]

AccuSift
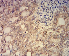
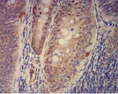
KAT2B Mouse Monoclonal antibody[7D12C]
CAF; PCAF; P/CAF
货号 名称 规格 价格 货期 数量
AC2600 KAT2B单克隆抗体[7D12C] 50ug ¥1250 1周
AC2600 KAT2B单克隆抗体[7D12C] 100ug ¥2200 1周

CBP and p300 are large nuclear proteins that bind to many sequence-specific factors involved in cell growth and/or differentiation, including c-jun and the adenoviral oncoprotein E1A. The protein encoded by this gene associates with p300/CBP. It has in vitro and in vivo binding activity with CBP and p300, and competes with E1A for binding sites in p300/CBP. It has histone acetyl transferase activity with core histones and nucleosome core particles, indicating that this protein plays a direct role in transcriptional regulation.



Aliases:    CAF; PCAF; P/CAF    

Entrez GeneID:    8850    

Swissprot :   Q92831    

WB Predicted band size :   93kDa    

Host/Isotype :   Mouse IgG1    

Species Reactivity:    Human,Mouse,Rat,Monkey    

Immunogen :   Purified recombinant fragment of human KAT2B (AA: 1-142) expressed in E. Coli.    

操作说明

WB    1/500 - 1/2000    

IHC    1/200 - 1/1000    

IF/ICC    1/200 - 1/1000    

FCM    1/200 - 1/400    

ELISA    1/10000    

参考文献