KARS单克隆抗体[8G12C]

AccuSift
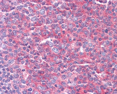
KARS Mouse Monoclonal antibody[8G12C]
KRS; KARS2; KIAA0070; KARS
货号 名称 规格 价格 货期 数量
AC2599 KARS单克隆抗体[8G12C] 50ug ¥1250 1周
AC2599 KARS单克隆抗体[8G12C] 100ug ¥2200 1周

KARS: lysyl-tRNA synthetase. Aminoacyl-tRNA synthetases are a class of enzymes that charge tRNAs with their cognate amino acids. Lysyl-tRNA synthetase is a homodimer localized to the cytoplasm which belongs to the class II family of tRNA synthetases. It has been shown to be a target of autoantibodies in the human autoimmune diseases, polymyositis or dermatomyositis.



Aliases :   KRS; KARS2; KIAA0070    

Entrez GeneID :   3735    

Swissprot :   Q15046    

Host/Isotype:    Mouse IgG1    

Species Reactivity:    Human    

Immunogen:    Purified recombinant fragment of KARS(aa90-174) expressed in E. Coli.    

操作说明

IHC    1/200 - 1/1000    

ELISA    1/10000    

参考文献