JUP单克隆抗体[4C12B]

AccuSift
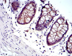
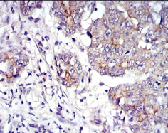
JUP Mouse Monoclonal antibody[4C12B]
DP3; PDGB; PKGB; CTNNG; DPIII; ARVD12
货号 名称 规格 价格 货期 数量
AC2598 JUP单克隆抗体[4C12B] 50ug ¥1250 1周
AC2598 JUP单克隆抗体[4C12B] 100ug ¥2200 1周

This gene encodes a major cytoplasmic protein which is the only known constituent common to submembranous plaques of both desmosomes and intermediate junctions. This protein forms distinct complexes with cadherins and desmosomal cadherins and is a member of the catenin family since it contains a distinct repeating amino acid motif called the armadillo repeat. Mutation in this gene has been associated with Naxos disease. Alternative splicing occurs in this gene; however, not all transcripts have been fully described.



Aliases:    DP3; PDGB; PKGB; CTNNG; DPIII; ARVD12    

Entrez GeneID:   3728    

Swissprot :   P14923    

WB Predicted band size:    82kDa    

Host/Isotype :   Mouse IgG1    

Species Reactivity:    Human    

Immunogen :   Purified recombinant fragment of human JUP expressed in E. Coli.    

操作说明

WB    1/500 - 1/2000    

IHC    1/200 - 1/1000    

IF/ICC    1/200 - 1/1000    

ELISA    1/10000    

参考文献