ITGB7单克隆抗体[1B4A8]

AccuSift
ITGB7 Mouse Monoclonal antibody[1B4A8]
货号 名称 规格 价格 货期 数量
AC2586 ITGB7单克隆抗体[1B4A8] 50ug ¥1250 1周
AC2586 ITGB7单克隆抗体[1B4A8] 100ug ¥2200 1周

This gene encodes a protein that is a member of the integrin superfamily. Members of this family are adhesion receptors that function in signaling from the extracellular matrix to the cell. Integrins are heterodimeric integral membrane proteins composed of an alpha chain and a beta chain. The encoded protein forms dimers with an alpha4 chain or an alphaE chain and plays a role in leukocyte adhesion. Dimerization with alpha4 forms a homing receptor for migration of lymphocytes to the intestinal mucosa and Peyer's patches. Dimerization with alphaE permits binding to the ligand epithelial cadherin, a calcium-dependent adhesion molecule. Alternate splicing results in multiple transcript variants. Additional alternatively spliced transcript variants of this gene have been described, but their full-length nature is not known.



Entrez GeneID :   3695    

Swissprot :   P26010    

WB Predicted band size:    86.9kDa    

Host/Isotype :   Mouse IgG1    

Species Reactivity:    Human    

Immunogen:    Purified recombinant fragment of human ITGB7 (AA: 20-174) expressed in E. Coli.    

操作说明

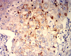
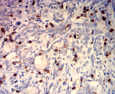
IHC    1/200 - 1/1000    

FCM    1/200 - 1/400    

ELISA    1/10000    

参考文献