ITGB4单克隆抗体[10B18]

AccuSift
ITGB4 Mouse Monoclonal antibody[10B18]
CD104
货号 名称 规格 价格 货期 数量
AC2583 ITGB4单克隆抗体[10B18] 50ug ¥1250 1周
AC2583 ITGB4单克隆抗体[10B18] 100ug ¥2200 1周

Integrins are heterodimers comprised of alpha and beta subunits, that are noncovalently associated transmembrane glycoprotein receptors. Different combinations of alpha and beta polypeptides form complexes that vary in their ligand-binding specificities. Integrins mediate cell-matrix or cell-cell adhesion, and transduced signals that regulate gene expression and cell growth. This gene encodes the integrin beta 4 subunit, a receptor for the laminins. This subunit tends to associate with alpha 6 subunit and is likely to play a pivotal role in the biology of invasive carcinoma. Mutations in this gene are associated with epidermolysis bullosa with pyloric atresia. Multiple alternatively spliced transcript variants encoding distinct isoforms have been found for this gene.


Aliases:    CD104    

Entrez GeneID :   3691    

Swissprot :   P16144     

WB Predicted band size :   202kDa    

Host/Isotype :   Mouse IgG1    

Species Reactivity:    Human    

Immunogen :   Purified recombinant fragment of human ITGB4 (AA: 1619-1822) expressed in E. Coli.    

操作说明

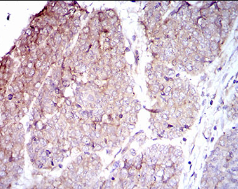
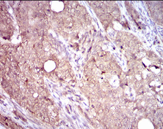
IHC    1/200 - 1/1000    

FCM    1/200 - 1/400    

ELISA    1/10000    

参考文献