ITGB1单克隆抗体[3B6G3]

AccuSift
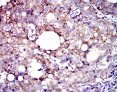
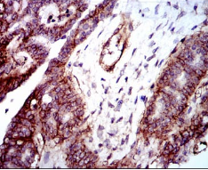
ITGB1 Mouse Monoclonal antibody[3B6G3]
CD29; FNRB; MDF2; VLAB; GPIIA; MSK12; VLA-BETA
货号 名称 规格 价格 货期 数量
AC2582 ITGB1单克隆抗体[3B6G3] 50ug ¥1250 1周
AC2582 ITGB1单克隆抗体[3B6G3] 100ug ¥2200 1周

Integrins are heterodimeric proteins made up of alpha and beta subunits. At least 18 alpha and 8 beta subunits have been described in mammals. Integrin family members are membrane receptors involved in cell adhesion and recognition in a variety of processes including embryogenesis, hemostasis, tissue repair, immune response and metastatic diffusion of tumor cells. This gene encodes a beta subunit. Multiple alternatively spliced transcript variants which encode different protein isoforms have been found for this gene.



Aliases :   CD29; FNRB; MDF2; VLAB; GPIIA; MSK12; VLA-BETA    

Entrez GeneID :   3688    

Swissprot :   P05556    

WB Predicted band size:    88.4kDa    

Host/Isotype:   Mouse IgG1    

Species Reactivity:   Human,Monkey    

Immunogen :   Purified recombinant fragment of human ITGB1 expressed in E. Coli.    

操作说明

WB    1/500 - 1/2000    

IHC    1/200 - 1/1000    

FCM    1/200 - 1/400    

ELISA    1/10000    

参考文献