ITGAM单克隆抗体[3A4B1]

AccuSift
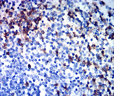
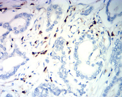
ITGAM Mouse Monoclonal antibody[3A4B1]
CR3A; MO1A; CD11B; MAC-1; MAC1A; SLEB6
货号 名称 规格 价格 货期 数量
AC2579 ITGAM单克隆抗体[3A4B1] 50ug ¥1250 1周
AC2579 ITGAM单克隆抗体[3A4B1] 100ug ¥2200 1周

This gene encodes the integrin alpha M chain. Integrins are heterodimeric integral membrane proteins composed of an alpha chain and a beta chain. This I-domain containing alpha integrin combines with the beta 2 chain (ITGB2) to form a leukocyte-specific integrin referred to as macrophage receptor 1 ('Mac-1'), or inactivated-C3b (iC3b) receptor 3 ('CR3'). The alpha M beta 2 integrin is important in the adherence of neutrophils and monocytes to stimulated endothelium, and also in the phagocytosis of complement coated particles. Multiple transcript variants encoding different isoforms have been found for this gene.



Aliases:    CR3A; MO1A; CD11B; MAC-1; MAC1A; SLEB6    

Entrez GeneID:    3684    

Swissprot:    P11215     

WB Predicted band size:    127.1kDa    

Host/Isotype :   Mouse IgG1    

Species Reactivity:    Human    

Immunogen:    Purified recombinant fragment of human ITGAM (AA: 623-728) expressed in E. Coli.    

操作说明

IHC    1/200 - 1/1000    

FCM    1/200 - 1/400    

ELISA    1/10000    

参考文献