ISL1单克隆抗体[1H9B2]

AccuSift
ISL1 Mouse Monoclonal antibody[1H9B2]
Isl-1; ISLET1; ISL1
货号 名称 规格 价格 货期 数量
AC2571 ISL1单克隆抗体[1H9B2] 50ug ¥1250 1周
AC2571 ISL1单克隆抗体[1H9B2] 100ug ¥2200 1周

ISL1 (ISL1 transcription factor, LIM/homeodomain) is a member of the LIM/homeodomain family of transcription factors. It binds to the enhancer region of the insulin gene, among others, and may play an important role in regulating insulin gene expression. It is central to the development of pancreatic cell lineages and may also be required for motor neuron generation. Islet-1 expression defines cardiac progenitor cell populations and is required for normal cardiac development and asymmetry. Mutations in this gene have been associated with maturity-onset diabetes of the young.



Aliases :   Isl-1; ISLET1    

Entrez GeneID:    3670    

Swissprot:    P61371     

WB Predicted band size :   39kDa    

Host/Isotype :   Mouse IgG1    

Species Reactivity:    Human,Mouse,Rat,Rabbit    

Immunogen:    Purified recombinant fragment of human ISL1 expressed in E. Coli.    

操作说明

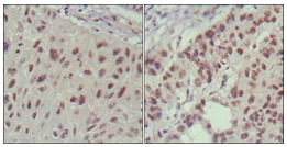
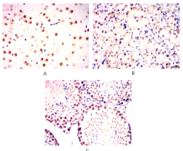
IHC    1/200 - 1/1000    

IF/ICC    1/200 - 1/1000    

ELISA    1/10000    

参考文献