IRF3单克隆抗体[5G3E2]

AccuSift
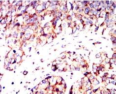
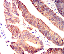
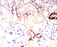
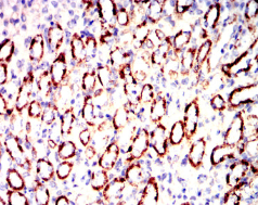
IRF3 Mouse Monoclonal antibody[5G3E2]
IIAE7
货号 名称 规格 价格 货期 数量
AC2569 IRF3单克隆抗体[5G3E2] 50ug ¥1250 1周
AC2569 IRF3单克隆抗体[5G3E2] 100ug ¥2200 1周

This gene encodes a member of the interferon regulatory transcription factor (IRF) family. The encoded protein is found in an inactive cytoplasmic form that upon serine/threonine phosphorylation forms a complex with CREBBP. This complex translocates to the nucleus and activates the transcription of interferons alpha and beta, as well as other interferon-induced genes. The protein plays an important role in the innate immune response against DNA and RNA viruses. Mutations in this gene are associated with Encephalopathy, acute, infection-induced, herpes-specific, 7.



Aliases:    IIAE7    

Entrez GeneID:    3661    

Swissprot:    Q14653    

WB Predicted band size:    47.2kDa    

Host/Isotype :   Mouse IgG1    

Species Reactivity:    Human, Mouse, Rat    

Immunogen :   Purified recombinant fragment of human IRF3 (AA: 1-150) expressed in HEK293-6e cells supernatant.    

操作说明

WB    1/500 - 1/2000    

IHC    1/200 - 1/1000    

FCM    1/200 - 1/400    

ELISA    1/10000    

参考文献