IRAK4单克隆抗体[2H9B9]

AccuSift
IRAK4 Mouse Monoclonal antibody[2H9B9]
IPD1; REN64; NY-REN-64
货号 名称 规格 价格 货期 数量
AC2567 IRAK4单克隆抗体[2H9B9] 50ug ¥1250 1周
AC2567 IRAK4单克隆抗体[2H9B9] 100ug ¥2200 1周

This gene encodes a kinase that activates NF-kappaB in both the Toll-like receptor (TLR) and T-cell receptor (TCR) signaling pathways. The protein is essential for most innate immune responses. Mutations in this gene result in IRAK4 deficiency and recurrent invasive pneumococcal disease. Multiple transcript variants encoding different isoforms have been found for this gene.



Aliases:    IPD1; REN64; NY-REN-64    

Entrez GeneID:    51135    

Swissprot:    Q9NWZ3    

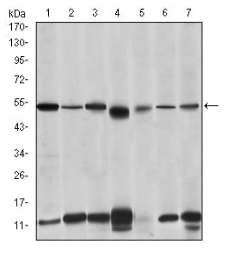
WB Predicted band sizel :   52kDa    

Host/Isotypel:    Mouse IgG1    

Species Reactivity :   Human,Mouse,Rat,,Monkey    

Immunogen :   Purified recombinant fragment of human IRAK4 expressed in E. Coli.    

操作说明

WB    1/500 - 1/2000    

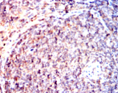
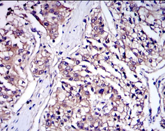
IHC    1/200 - 1/1000    

FCM    1/200 - 1/400    

ELISA    1/10000    

参考文献