IRAK3单克隆抗体[6G9G2]

AccuSift
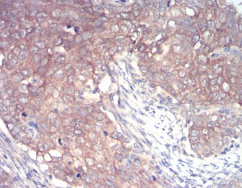
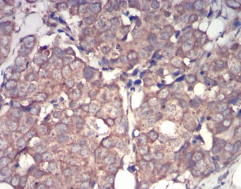
IRAK3 Mouse Monoclonal antibody[6G9G2]
ASRT5; IRAKM
货号 名称 规格 价格 货期 数量
AC2566 IRAK3单克隆抗体[6G9G2] 50ug ¥1250 1周
AC2566 IRAK3单克隆抗体[6G9G2] 100ug ¥2200 1周

This gene encodes a member of the interleukin-1 receptor-associated kinase protein family. Members of this family are essential components of the Toll/IL-R immune signal transduction pathways. This protein is primarily expressed in monocytes and macrophages and functions as a negative regulator of Toll-like receptor signaling. Mutations in this gene are associated with a susceptibility to asthma. Alternate splicing results in multiple transcript variants.



Aliases:    ASRT5; IRAKM    

Entrez GeneID:    11213    

Swissprot:    Q9Y616     

WB Predicted band size:    67.8kDa    

Host/Isotype :   Mouse IgG1    

Species Reactivity:    Human    

Immunogen:    Purified recombinant fragment of human IRAK3 (AA: 454-596) expressed in E. Coli.    

操作说明

IHC    1/200 - 1/1000    

IF/ICC    1/200 - 1/1000    

FCM    1/200 - 1/400    

ELISA    1/10000    

参考文献