INHA(Inhibin alpha)单克隆抗体[4A2A9]

AccuSift
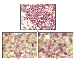
INHA(Inhibin alpha) Mouse Monoclonal antibody[4A2A9]
INHA
货号 名称 规格 价格 货期 数量
AC2564 INHA(Inhibin alpha)单克隆抗体[4A2A9] 50ug ¥1250 1周
AC2564 INHA(Inhibin alpha)单克隆抗体[4A2A9] 100ug ¥2200 1周

INHA (A-inhibin subunit precursor, inhibin alpha subunit ), also called inhibin (alpha) ,which is located on chromosome 2q33-q36. Inhibin is a gonadal protein that preferentially suppresses the secretion of pituitary follicle-stimulating hormone (FSH). Inhibin comprises of two subunits,Inhibin A and B. Inhibin has been shown to regulate gonadal stromal cell proliferation negatively and to have tumor suppressor activity. In addition, serum levels of inhibin have been shown to reflect the size of granulosa cell tumors and can therefore be used as a marker for primary as well as recurrent disease. In addition to their role in endocrine feedback in the reproductive sytem, inhibins subserve local regulatory roles in numerous extragonadal tissues, including brain, adrenal,bone marrow, placenta, and most notably anterior pituitary. Inhibin alpha subunit gene expression is down regulated in human prostate cancer, suggesting a tumor suppressive role.



Aliases:    INHA; inhibin, alpha    

Entrez GeneID:    3623    

Swissprot:   P05111    

WB Predicted band size:    40kDa    

Host/Isotype:    Mouse IgG1    

Species Reactivity:    Human    

Immunogen:    Purified recombinant fragment of human INHA expressed in E. Coli.    

操作说明

IHC    1/200 - 1/1000    

IF/ICC    1/200 - 1/1000    

ELISA    1/10000    

参考文献