ILK单克隆抗体[3A9B8]

AccuSift
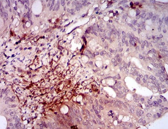
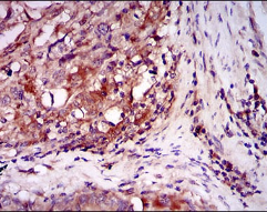
ILK Mouse Monoclonal antibody[3A9B8]
P59; ILK-2
货号 名称 规格 价格 货期 数量
AC2559 ILK单克隆抗体[3A9B8] 50ug ¥1250 1周
AC2559 ILK单克隆抗体[3A9B8] 100ug ¥2200 1周

Transduction of extracellular matrix signals through integrins influences intracellular and extracellular functions, and appears to require interaction of integrin cytoplasmic domains with cellular proteins. Integrin-linked kinase (ILK), interacts with the cytoplasmic domain of beta-1 integrin. This gene encodes a serine/threonine protein kinase with 4 ankyrin-like repeats, which associates with the cytoplasmic domain of beta integrins and acts as a proximal receptor kinase regulating integrin-mediated signal transduction. Multiple alternatively spliced transcript variants encoding the same protein have been found for this gene.



Aliases:    P59; ILK-2    

Entrez GeneID :   3611    

Swissprot :   Q13418    

WB Predicted band size :   51.4kDa    

Host/Isotype:    Mouse IgG1    

Species Reactivity:    Human,Mouse,Monkey    

Immunogen :   Purified recombinant fragment of human ILK (AA: 97-244) expressed in E. Coli.    

操作说明

WB    1/500 - 1/2000    

IHC    1/200 - 1/1000    

FCM    1/200 - 1/400    

ELISA    1/10000    

参考文献