IL2RA单克隆抗体[1B5D1]

AccuSift
IL2RA Mouse Monoclonal antibody[1B5D1]
CD25; IL2R; TCGFR; IDDM10
货号 名称 规格 价格 货期 数量
AC2553 IL2RA单克隆抗体[1B5D1] 50ug ¥1250 1周
AC2553 IL2RA单克隆抗体[1B5D1] 100ug ¥2200 1周

The interleukin 2 (IL2) receptor alpha (IL2RA) and beta (IL2RB) chains, together with the common gamma chain (IL2RG), constitute the high-affinity IL2 receptor. Homodimeric alpha chains (IL2RA) result in low-affinity receptor, while homodimeric beta (IL2RB) chains produce a medium-affinity receptor. Normally an integral-membrane protein, soluble IL2RA has been isolated and determined to result from extracellular proteolyisis. Alternately-spliced IL2RA mRNAs have been isolated, but the significance of each is presently unknown. Mutations in this gene are associated with interleukin 2 receptor alpha deficiency.



Aliases:    CD25; IL2R; TCGFR; IDDM10    

Entrez GeneID :   3559    

Swissprot :   P01589    

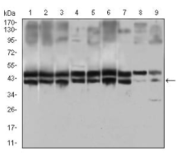
WB Predicted band size:    30.8kDa    

Host/Isotype:    Mouse IgG1    

Species Reactivity:    Human,Mouse,Monkey,Rat    

Immunogen:    Purified recombinant fragment of human IL2RA (AA: 34-139) expressed in E. Coli.    

操作说明

WB    1/500 - 1/2000    

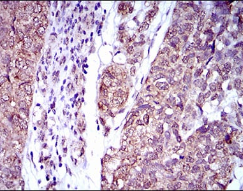
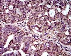
IHC    1/200 - 1/1000    

IF/ICC    1/200 - 1/1000    

ELISA    1/10000    

参考文献